Teeth Whitening: Case 2
Description
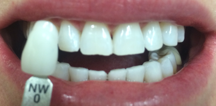
One quick in-office 45 minute treatment!


Description
One quick in-office 45 minute treatment!
Fort Bend Dental has provided the community of Fort Bend County with high-quality dental care serving the community since 1987. With multiple convenient locations to serve you and your family, our services include:
Contact us online or call us at:
Fort Bend Dental Missouri City – (281) 336-9899 (281) 962-7656
Fort Bend Dental Grand Parkway – (281) 519-3135
Fort Bend Dental Rosenberg – (281) 336-9971
Fort Bend Dental Aliana – (281) 761-7194
Fort Bend Dental Sugar Land – (281) 205-8691
We have 5 locations in Fort Bend County
Fort Bend Dental Missouri City
3717 Township Ln
Missouri City TX 77459
Fort Bend Dental Grand Parkway
7417 W Grand Pkwy S, Unit 140
Richmond TX 77407
Fort Bend Dental Rosenberg
28151 Southwest Fwy
Rosenberg TX 77471
Fort Bend Dental Aliana
16647 West Airport Blvd.
Sugar Land TX 77498
Fort Bend Dental Sugar Land
15921 City Walk
Sugar Land TX 77479
